0452 544 028
07 3367 8947
Email Us
  • FAQs
  • About us
  • Contact us
Facebook
  • Emergency Dentist
  • Clear Aligners
  • Laser
    • Laser Teeth Whitening
  • Cosmetic Dentistry
    • Porcelain Crown
    • Porcelain Veneers
    • Teeth Whitening
    • Tooth Coloured Restoration
  • General Dentistry
    • Dentures
    • Same Day Dental Impants & Crown
    • Digital Dental X-Rays
    • Pediatric Dentistry
    • Orthodontic Treatment
    • Root Canal Treatment
    • TMJ Disorders
    • Scale and Clean
  • Holistic Dentistry
  • Emergency Dentist
  • Clear Aligners
  • Laser
    • Laser Teeth Whitening
  • Cosmetic Dentistry
    • Porcelain Crown
    • Porcelain Veneers
    • Teeth Whitening
    • Tooth Coloured Restoration
  • General Dentistry
    • Dentures
    • Same Day Dental Impants & Crown
    • Digital Dental X-Rays
    • Pediatric Dentistry
    • Orthodontic Treatment
    • Root Canal Treatment
    • TMJ Disorders
    • Scale and Clean
  • Holistic Dentistry

Scale and Clean

Scale and Clean

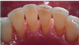
Periodontal disease is the number one chronic infectious disease in the world. Surveys and studies show that over 50% of the American adult population have gingivitis and that 36% have periodontal disease. It is the leading cause of tooth loss, and begins as a painless infection in the gums that is caused by build-up of bacteria. The bacteria build-up becomes DENTAL PLAQUE. If left untreated, pockets of plaque form around the gum tissue and plaque continues to accumulate below the gum line. Inflammation results, destroying the soft tissue and bone that support the teeth. These bacteria can travel into the bloodstream and other parts of the body, putting a person’s health at risk.

Periodontitis is a bacterially-induced, chronic inflammatory disease that destroys the connective tissues and bone that support teeth.

Treatment for periodontal disease is
  1. Nonsurgical treatment
    – Oral hygiene instruction
    – Scale and Clean, Subgingival removal of bacterial plaque and calculus
    – Tooth Planing
    – Antibiotic therapy
  2. Surgical treatment
During the scaling, an ultrasonic unit is used to clean tartar and visible particles from the teeth. Scaling removes deposits of bacterial plaque, food debris, and any pus that has accumulated in the infected pocket as a result of periodontitis. Root planning smooths and cleans the root of the tooth so that the gum tissue next to the tooth may heal.

Enquiry Form

    We bring together leading dentistry expertise,
    a comprehensive range of services and the most advanced technology available. Dentist Paddington

    • Quick Links

      • Holistic Dentistry

      • Cosmetic Dentistry

      • General Dentistry

      • Pediatric Dentistry

      • FAQs

      • About Us

    Opening Hours

    Mon - Fri: 8am to 6pm
    Sat: 9am - 1pm
    Sun: Closed

    Contact Us

    0452544028
    frontdesk@new.hermandental.com.au
    140 Enoggera Tce, Paddington Brisbane, QLD 4064

    Copyright © 2025 Herman Advanced Dental. All Right Reserved.