A strong and durable Porcelain Crown in just one visit
Porcelain crowns are customised caps that are permanently bonded to your natural tooth. Crowns can restore strength by giving you a new enamel like cover and give you back that beautiful, healthily-looking natural smile you deserve.
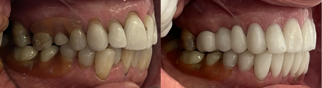
A bridge is a permanent replacement of missing teeth. The bridge is attached to the teeth on either side of the gap. It is attached with permanent cement. A non surgical quick procedure and is good for patients with existing medical conditions eg, anxiety, diabetes, osteoporosis and other.
Before & After Photos
Crowns from $1400
Normally $1400 – $2200
We can give you a quote after we examine your teeth and plan your treatment.
0% interest payment plans available over $2000
Our on-site technology means you only need one visit and you don’t incur additional laboratory fees. This means our Porcelain Crowns are more affordable, and you can spend less time in the dentist chair!
Get beautiful Porcelain Crown in just one visit, made on-site.
Payment plans available over $2000
We can give you a quote after we examine your teeth and plan your treatment.
In any of the cases below; the strength of your tooth has been compromised. Crowns can restore strength by giving you a new enamel like cover and give you back that beautiful, healthily-looking natural smile you deserve.
Emax CAD – The world’s best-selling glass-ceramic
LiSi Block, GC Initial
The GC Initial LiSi Block is a great addition to yuour same-day dentistry toolbox. It gives you the option to provide a smooth, accurate mill with 400 MPa flexural strength that can be ready to cement in 30 minutes or so without the need for an oven.
CEREC allows the dentist to perform conservative restorations and save more of your healthy tooth. It protects your natural tooth structure. This means even LESS drilling. It also ensures the best fit and achieves a perfect bite. Because the process involves high-precision measurements and hi-tech ceramics. CEREC porcelain crowns have the same expansion rate as tooth material which is one of the reasons they can last for many decades.
CEREC (Chair-side Economical Restoration of Esthetic Ceramics) is a very high precision, computerised manufacturing process for porcelain crowns and veneers.
It is the most advanced and effective restoration process available to date.
CEREC uses a CAD/CAM process (Computer Aided Design/Computer Aided Manufacture) to mill a crows or veneers out of ceramic blocks.
CEREC allows the dentist to perform conservative restorations and save more of your healthy tooth. It protects your natural tooth structure. This means even LESS drilling. It also ensure the best fit and achieves a perfect bite.
This is possible because of the very high precision manufacturing process: the tolerances are just 25 microns i.e. 0.025 mm, which is about a quarter of the thickness of a sheet of paper.
You can get a complete, permanent, all ceramic crown, onlay, or veneer in just one quick visit! This means FEWER shots, LESS drilling, and less time out of your hectic schedule. No temporary that is uncomfortable, ugly and weak.
The crowns and veneers are milled on site, in the dentist’s lab.
Natural look — The porcelain colour and translucency closely mimic the look of natural teeth.
Natural wear — Perfect enamel replacement, neither too hard nor too soft. Feels like a natural tooth. There is no undue wear and you will not need to replace time and again, as you might with older crown or filling technology. Metal restorations can be too abrasive and can damage your natural teeth, the opposing tooth structure.
No toxic metals — When you replace mercury and other toxic metals with ceramic crowns and fillings you remove those metals from your mouth and the potential harm they may cause. That is a huge reason to opt for ceramics.
No cracking — The ceramic material used to create your crown or filling expands and contracts as your natural teeth do. This means there is no stress put on your natural tooth structure.
Strength of gold, looks of natural teeth — Dental bonding using ceramics can return up to 93% of the original strength to a damaged tooth.
The colour and translucence closely follow that of the natural tooth. Porcelain crowns and porcelain veneers can give you the closest look to the natural teeth, giving you that natural smile
CEREC uses a repetitive industrial process to manufacture the ceramic with precise specifications and well defined colours. This means that the colour always matches.
Now, tomorrow or ten years from now if you decide that you want more work done. You can match all your crowns and veneers at any time.
Because the process involves high-precision measurements and hi-tech ceramics CEREC porcelain crowns and porcelain veneers have the same expansion rate as tooth material which is one of the reasons they can last for many decades.
Past clinical studies from the ’90es have proven that even with the older CEREC 1 and CEREC 2 system the success rate of porcelain crowns after nine years was 95.5% And this was with older systems. And even more: the rest just needed more work mainly because of later tooth extraction. And that was before the current levels of clinical precision and the quality of the joints.
Most biologically compatible materials — which means least amount of stress on your teeth, no undue wear.
Same colour: all time, every time, guaranteed — CEREC porcelains are created from the CEREC blocks which are made in a repeatable industrial process which means you can be sure that you can get the same colour to match your other porcelain crowns or veneers, every time, now or even ten years from now.
Cheapest all-porcelain crowns — because they are made on the spot by a fully automated milling machine, there are no laboratory costs, no second visit hassles.
One visit only — LESS PAIN, less hassle, less time in the dental chair.
Looking for the best Porcelain Crowns in Paddington?
Some History About Our Building
The Ithaca Fire Brigade was established by the merger of Milton and Ithaca Fire Brigades in 1918.
Costing 500 Pounds at the time the first stage of the building was built by the fire fighters themselves using materials salvaged from other fire stations.
In 1919 a new station was opened which contained an engine room, recreation room, large dormitory, bathroom and verandah.
In 1928, an extra floor was added to accommodate the officer in charge.
The fire station operated until 1992, making it the longest fire station to operate in the Brisbane Area.
To this day much of the building has been kept original. You can still see the fireman’s pole in the building today!
What areas do we service?
Being located in the heart of Paddington allows us to serve as a local dentist for many of Brisbane City’s inner suburbs. With convenient parking available our main servicing area’s are from paddington and surrounding suburbs including Ashgrove, Bardon and Red Hill. However, anyone is welcome to our practice.
