What is a dental implant?
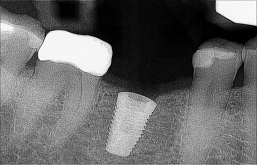
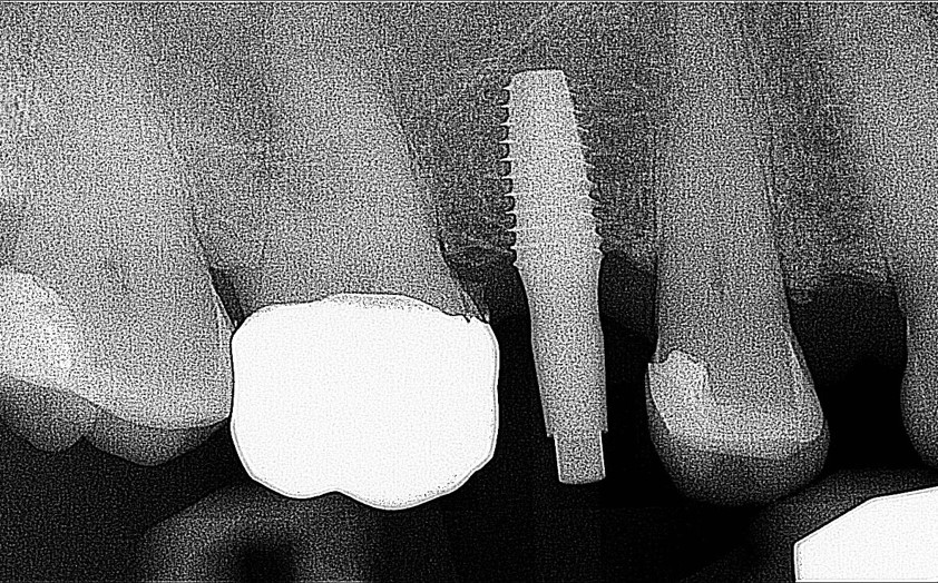
A dental Implant is a titanium “root” that integrates directly with the surrounding bone and replaces the function of the natural tooth. Neoss Implants are made using the best quality medical grade titanium, which is well known for its proven biocompatibility, and have a treated surface to facilitate bone integration.
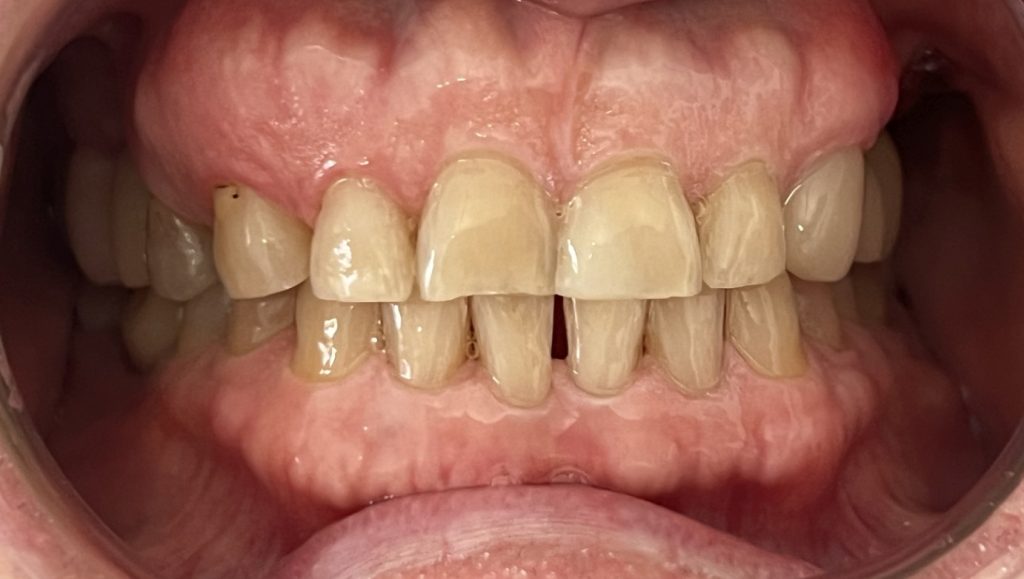
The aim is to improve your health, chewing function and/or aesthetic appearance and once healing and restoration is complete you will be able to enjoy a wide variety of foods again.
When can dental implants be used?
It does not matter whether teeth were lost through accident, disease or caries, dental implants are an excellent tooth replacement for many patients.
Your dentist will inform you which implant treatment is most suitable for you.
Dental implants can be used when:
- A single tooth is missing – Crowns
- Several teeth are missing – Bridges
- All teeth are missing – Bridges or dentures
